
-
生物通官微
陪你抓住生命科技
跳动的脉搏
柴胡皂苷-D通过靶向PIM1/c-Myc轴重编程致癌选择性剪接诱导癌细胞死亡
【字体: 大 中 小 】 时间:2025年10月07日 来源:Cell Death Discovery 7
编辑推荐:
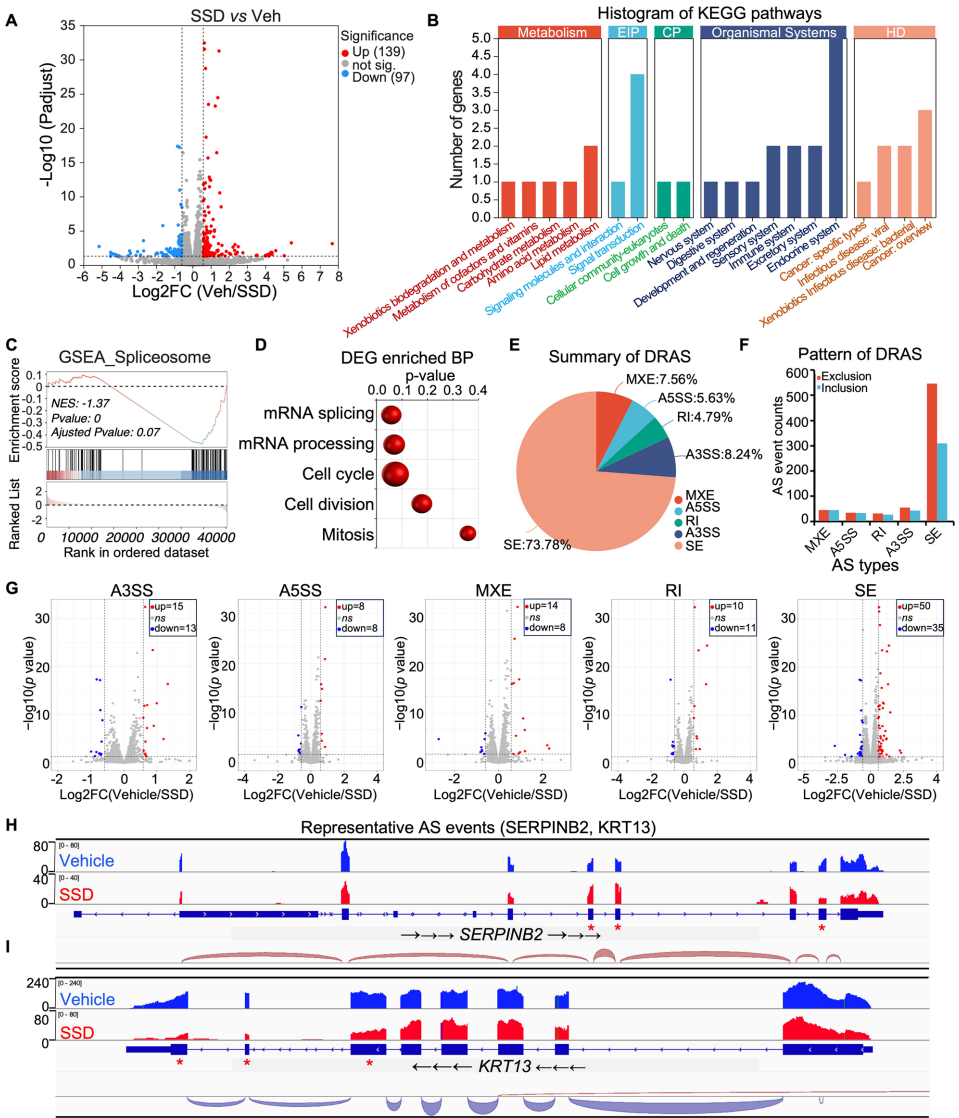
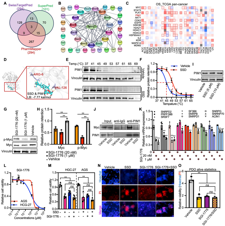
本研究针对不同柴胡皂苷(SSs)抗肿瘤活性及机制不清的问题,聚焦SSD通过直接靶向PIM1激酶,阻断PIM1与Myc相互作用,降低c-Myc蛋白Ser62位点磷酸化及稳定性,进而抑制Myc转录活性,调控选择性剪接因子网络,重编程CYP1A1等致癌剪接变异体表达。研究证实SSD在胃癌、前列腺癌等多癌种中显著抑制肿瘤生长,为传统中药活性成分抗肿瘤机制提供了新颖的PIM1/Myc/剪接轴理论依据。






生物通微信公众号