
-
生物通官微
陪你抓住生命科技
跳动的脉搏
CRISPR/甲氨蝶呤整合策略降低TCR-T细胞染色体14缺失风险
【字体: 大 中 小 】 时间:2025年11月30日 来源:Molecular Therapy Methods & Clinical Development 4.7
编辑推荐:
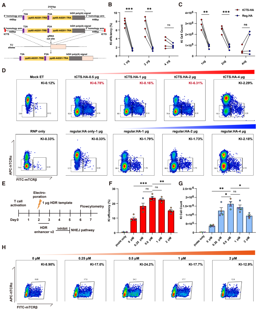
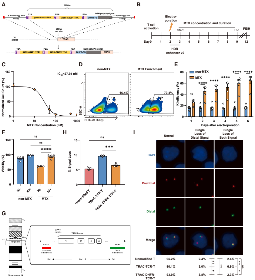
本研究针对传统慢病毒TCR-T疗法存在的插入突变风险和CRISPR介导的TRAC靶向导致的染色体不稳定性问题,开发了一种非病毒基因编辑平台。通过将CMV-pp65特异性TCR与甲氨蝶呤耐药性DHFR-FS选择标记整合至TRAC基因座,结合电穿孔参数优化和HDR增强剂应用,使TCR整合效率提升至约20%,再经6天MTX处理将工程化细胞纯度富集至70%。该策略显著降低了CRISPR相关的染色体14丢失(从10%降至<5%),且TRAC-TCR-T细胞表现出更强的IFN-γ/TNF-α分泌能力和更低耗竭标志物表达,为 safer adoptive TCR-T immunotherapy 提供了GMP兼容的解决方案。




生物通微信公众号