
-
生物通官微
陪你抓住生命科技
跳动的脉搏
心房颤动患者因直接口服抗凝治疗导致的双侧肾上腺出血:病例报告与文献综述
《The Egyptian Journal of Internal Medicine》:Bilateral adrenal hemorrhage induced by direct oral anticoagulant therapy in atrial fibrillation: a case report and literature review
【字体: 大 中 小 】 时间:2026年02月21日 来源:The Egyptian Journal of Internal Medicine 1.0
编辑推荐:
患者因病毒性心肌炎入院,三天前启动利伐沙班抗凝治疗,第六日出现严重右侧腰痛及恶心,CT确诊为双侧肾上腺出血,实验室示肾上腺功能不全,经氢化可的松治疗好转,随访显示出血吸收。
肾上腺出血(AH)是抗凝治疗中一种罕见但可能危及生命的并发症,死亡率约为15%。大多数记录在案的病例与低分子量肝素或未分馏肝素有关。本报告描述了一例由利伐沙班引起的双侧肾上腺出血(BAH)病例,患者患有心房颤动。
一名61岁的男性患者有I级动脉高血压病史,正在服用氨氯地平治疗。入院前三天,由于心房颤动,他被开具了20毫克的利伐沙班用于预防中风。住院第六天,他出现了严重的右侧腰部疼痛和恶心。体格检查显示血压偏低,腹部无明显异常。腹部CT检查发现双侧肾上腺出血。实验室检查结果证实存在肾上腺功能不全,随后开始使用氢化可的松治疗。患者的病情有所改善,并在口服氢化可的松后出院。两个月后的随访影像学检查显示出血范围有所缩小。
本病例强调了由直接口服抗凝剂引起的肾上腺出血的罕见性和严重性,强调了早期识别和及时处理的重要性,以防止不良后果。
肾上腺出血(AH)是抗凝治疗中一种罕见但可能危及生命的并发症,死亡率约为15%。大多数记录在案的病例与低分子量肝素或未分馏肝素有关。本报告描述了一例由利伐沙班引起的双侧肾上腺出血(BAH)病例,患者患有心房颤动。
一名61岁的男性患者有I级动脉高血压病史,正在服用氨氯地平治疗。入院前三天,由于心房颤动,他被开具了20毫克的利伐沙班用于预防中风。住院第六天,他出现了严重的右侧腰部疼痛和恶心。体格检查显示血压偏低,腹部无明显异常。腹部CT检查发现双侧肾上腺出血。实验室检查结果证实存在肾上腺功能不全,随后开始使用氢化可的松治疗。患者的病情有所改善,并在口服氢化可的松后出院。两个月后的随访影像学检查显示出血范围有所缩小。
本病例强调了由直接口服抗凝剂引起的肾上腺出血的罕见性和严重性,强调了早期识别和及时处理的重要性,以防止不良后果。
肾上腺出血(AH)是抗凝剂的一种罕见但可能危及生命的不良反应,尤其是当影响到双侧肾上腺时,死亡率约为15%[1]。双侧肾上腺出血(BAH)常与败血症、大型手术、创伤、抗磷脂综合征、恶性肿瘤或抗凝治疗等因素相关。由于症状缺乏特异性,诊断这种罕见情况可能具有挑战性[2]。
虽然大多数报道的与抗凝剂相关的BAH病例涉及未分馏肝素或低分子量肝素,但最近的病例报告越来越多地指出BAH与直接口服抗凝剂(DOACs)有关。本报告介绍了一例由利伐沙班引起的双侧肾上腺出血的罕见病例,旨在强调诊断上的挑战、临床表现以及对于接受DOAC治疗的患者保持高度警惕的重要性。
我们报告了一名61岁男性的病例,他患有I级动脉高血压,正在服用氨氯地平治疗。入院前三天,因心房颤动,由心脏病专家为他开具了每日一次20毫克的利伐沙班用于预防中风。住院第六天,他突然出现严重的右侧腰部疼痛和恶心。疼痛呈局部性、间歇性且灼烧感,疼痛评分约为8分(满分10分)。患者否认有发热、寒战、呕吐或肠道或泌尿系统症状。此外,他无胆囊或肾结石病史,也无外伤史。
体格检查显示血压为105/89毫米汞柱,脉搏不规则(每分钟105次),呼吸频率为每分钟20次,室内空气下氧饱和度为96%。心脏听诊正常,无杂音、摩擦音或奔马律。腹部检查发现双侧肾上腺出血。实验室检查结果证实存在肾上腺功能不全,随即开始使用氢化可的松治疗。患者的病情有所改善,并在口服氢化可的松后出院。两个月后的随访影像学检查显示出血范围有所缩小。
肾上腺出血(AH)是抗凝剂的一种罕见但可能危及生命的不良反应,尤其是当影响到双侧肾上腺时,死亡率约为15%[1]。双侧肾上腺出血(BAH)常与败血症、大型手术、创伤、抗磷脂综合征、恶性肿瘤或抗凝治疗等因素相关。由于症状缺乏特异性,诊断这种罕见情况可能具有挑战性[2]。
虽然大多数报道的与抗凝剂相关的BAH病例涉及未分馏肝素或低分子量肝素,但最近的病例报告越来越多地指出BAH与直接口服抗凝剂(DOACs)有关。本报告介绍了一例由利伐沙班引起的双侧肾上腺出血的罕见病例,旨在强调诊断上的挑战、临床表现以及对于接受DOAC治疗的患者保持高度警惕的重要性。
我们报告了一名61岁患者的病例,他患有I级动脉高血压,已服用氨氯地平两年。他没有其他可改变的心血管危险因素。他因病毒性心肌炎入住我院。入院前三天,由心脏病专家为他开具了每日一次20毫克的利伐沙班用于预防中风。
住院第六天,他突然出现严重的右侧腰部疼痛和恶心。疼痛呈局部性、间歇性且灼烧感。疼痛评分约为8分(满分10分)。患者否认有发热、寒战、呕吐或肠道或泌尿系统症状。此外,他无胆囊或肾结石病史,也无外伤史。
体格检查显示血压为105/89毫米汞柱,脉搏不规则(每分钟105次),呼吸频率为每分钟20次,室内空气下氧饱和度为96%。心脏听诊正常,无杂音、摩擦音或奔马律。肺部听诊显示呼吸音减弱。腹部检查发现压痛但无僵硬,墨菲征阴性。直肠检查未见出血迹象,直肠为空。
心电图显示心房颤动,心室率为每分钟105次,左轴偏移和左心室肥大。经胸超声心动图显示下外侧壁运动减弱,双心房扩大,收缩功能正常,无心包积液。心脏磁共振成像结果与病毒性心肌炎一致。
初步实验室检查显示低钠血症和轻度高钾血症,提示在急性腹痛和相对低血压的情况下可能存在肾上腺功能不全。鉴于患者的急性症状、抗凝治疗以及提示肾上腺功能障碍的生化异常,进行了腹部计算机断层扫描(CT)以排查肾上腺病因。
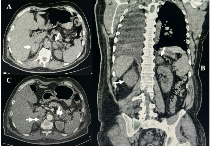
CT结果显示双侧肾上腺显著增大(右侧:28×42毫米;左侧:23×24毫米),密度不均,渗出物延伸至肾周和肾旁间隙以及相邻的腹膜后结构,符合双侧肾上腺出血(BAH)的表现(图1)。
计算机断层扫描(CT)显示双侧肾上腺出血。横向(A)和冠状(B)视图显示肾上腺显著增大,箭头所示。C)随访CT(10天后)显示血肿大小显著减小(箭头所示)
皮质醇和促肾上腺皮质激素(ACTH)水平分别为124.7纳米摩尔(正常值:222–690纳米摩尔/升)和81.5纳米摩尔/升(正常值:7.2–63.3纳克/升)。患者开始静脉注射氢化可的松,剂量为每天两次,每次100毫克。症状改善后,改为口服氢化可的松(每天两次,每次20毫克),同时继续服用氨氯地平、β受体阻滞剂和维生素K拮抗剂。
出院两个月后,随访超声显示左侧血肿消退,右侧血肿大小减小(20×36毫米对比28×42毫米)(图2)。患者继续接受替代治疗,并报告精力有所恢复。目前他为门诊患者,定期进行心脏病学和内分泌学检查。
两个月随访超声显示右侧肾上腺增大程度减轻,如箭头所示。大小从28×42毫米减小至20×36毫米
该患者出现严重腰部疼痛、恶心以及肾上腺功能不全的生化表现,需要考虑多种潜在原因。病毒性肾上腺炎(如巨细胞病毒或HIV相关性肾上腺病变)可导致双侧肾上腺增大和肾上腺功能不全,但该患者无免疫缺陷或全身性病毒感染症状。其他感染性或炎症性肾上腺病变(如细菌性败血症或肾上腺脓肿)也可能表现为类似肾上腺出血的症状,但由于无发热、白细胞增多或全身感染迹象,这些可能性较低。原发性肾上腺肿瘤或转移瘤偶尔也会导致出血;然而,患者的影像学表现更符合急性过程而非肿瘤病变。由于无外伤或近期侵入性操作史,创伤性或术后肾上腺出血也被排除。总体而言,结合临床表现、近期开始使用DOAC以及影像学检查结果,强烈支持抗凝剂引起的双侧肾上腺出血是主要诊断。
肾上腺出血(AH)是一种罕见但可能危及生命的并发症,其特征是肾上腺单侧或双侧出血。尸检调查显示其发病率在0.14%至1.1%之间[1]。由于临床表现不明确和实验室检查结果波动较大,实际发病率可能更高[1]。
许多潜在的压力因素可导致非创伤性肾上腺出血,包括败血症、腹部手术后、抗磷脂综合征、妊娠,以及在少数情况下的抗凝治疗[1],[2],[3]。
首例由抗凝剂使用引起的肾上腺出血病例记录于1947年[3]。据我们所知,已有18例与直接口服抗凝剂(DOACs)相关的肾上腺出血病例被报道。其中2例使用达比加群,5例使用阿哌沙班,11例使用利伐沙班(表1)。
自发性非创伤性肾上腺出血的精确病理机制尚不清楚。然而,这可能与肾上腺独特的血管结构有关,该结构具有三条主要动脉和一条静脉。肾上腺动脉分支形成毛细血管网络,围绕网状层。动脉-毛细血管网络之间的过渡区域(称为“血管屏障”)是一个关键部位。在应激状态下,肾上腺动脉血流量增加可能超过静脉引流能力,从而增加出血风险。此外,儿茶酚胺水平升高和凝血功能障碍引起的肾上腺静脉血栓可能引发肾上腺静脉痉挛、淤血和随后的出血[4]。
大多数病例是偶然发现的。然而,腹部或背部疼痛和发热是肾上腺出血的常见症状。其他非特异性症状包括乏力、嗜睡、恶心、呕吐和腹泻。临床检查可能发现失血迹象,如低血压和心动过速,或腹部或腰部区域的压痛。血压升高可能是由于出血灶释放的皮质醇和儿茶酚胺所致,尤其是在嗜铬细胞瘤作为病因的情况下[1],[3]。
所有报道的BAH病例均存在原发性肾上腺功能不全(表1)。如果清晨血清皮质醇水平低于140纳米摩尔/升(5微克/分升),且血浆ACTH水平超过参考范围的两倍,则应考虑此可能性。对于临床稳定的患者,合成ACTH刺激试验是确认基础皮质醇水平不确定性的标准方法。还应评估血浆肾素和血清醛固酮水平[2]。
计算机断层扫描(CT)是诊断肾上腺出血的主要方法,通常显示信号减弱和肾上腺增大。磁共振成像(MRI)是检测血肿和评估其年龄的最有效工具[1]。
肾上腺出血通常采用保守治疗。对于急性出血且伴有血流动力学不稳定的情况,血管内栓塞是一种安全且微创的治疗选择。如果怀疑肾上腺危象,应立即开始使用氢化可的松和静脉补液[2]。本病例的处理包括立即停用利伐沙班,并开始静脉注射氢化可的松(100毫克推注后每日200毫克),无需进行血管内干预。通过连续CT扫描和激素监测来评估肾上腺恢复情况,并指导长期激素减量。
关于肾上腺出血恢复过程的数据不足。因此,建议进行密切随访和放射学监测,定期评估下丘脑-垂体-肾上腺轴,并根据需要给予经验性激素替代治疗[4]。
本病例再次证实了直接口服抗凝剂引起的肾上腺出血是一种罕见但严重的并发症。它强调了早期诊断和有效管理的重要性。