
-
生物通官微
陪你抓住生命科技
跳动的脉搏
自发性颈动脉夹层累及颈总动脉和颈内动脉,与嗜酸性肉芽肿伴多血管炎相关:一例病例报告
《The Egyptian Journal of Neurology, Psychiatry and Neurosurgery》:Spontaneous cervical artery dissection involving the common and internal carotid arteries associated with eosinophilic granulomatosis with polyangiitis: a case report
【字体: 大 中 小 】 时间:2026年02月21日 来源:The Egyptian Journal of Neurology, Psychiatry and Neurosurgery 1.1
编辑推荐:
EGPA患者首次报告颈总及颈内动脉自发夹层伴霍纳综合征,超声示内膜 flap及双腔结构,随访6个月无缺血性中风,但未确认完全恢复。临床应警惕EGPA等系统性血管炎导致的异质性血管损伤。
嗜酸性肉芽肿伴多血管炎(EGPA)是一种罕见的、多系统的、免疫介导的炎症性疾病。同时涉及颈内动脉和颈总动脉的颈动脉夹层非常罕见。据我们所知,此前没有关于EGPA相关颈动脉夹层的报道。这是首例报告与EGPA相关的自发性颈动脉夹层,且夹层同时累及颈总动脉和颈内动脉的病例。
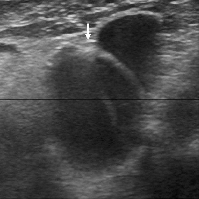
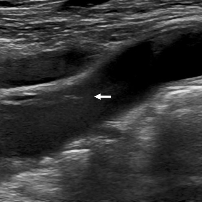
一名64岁的女性患者患有EGPA,并出现霍纳综合征(Horner syndrome)。她正在接受EGPA的糖皮质激素治疗以及心房颤动的抗凝治疗。超声检查显示颈总动脉和颈内动脉内存在内膜瓣和双腔结构。患者继续接受药物治疗,未发生缺血性中风,发病6个月后的随访显示霍纳综合征有所改善。超声检查未发现复发或动脉瘤形成,但颈动脉夹层是否完全愈合尚未得到确认。
本案例提示EGPA可能与颈动脉夹层之间存在关联。在出现非典型或广泛性颈动脉夹层的情况下,应考虑是否存在内皮功能障碍等潜在疾病。临床医生应考虑EGPA等系统性血管炎的可能性。
嗜酸性肉芽肿伴多血管炎(EGPA)是一种罕见的、多系统的、免疫介导的炎症性疾病。同时涉及颈内动脉和颈总动脉的颈动脉夹层非常罕见。据我们所知,此前没有关于EGPA相关颈动脉夹层的报道。这是首例报告与EGPA相关的自发性颈动脉夹层,且夹层同时累及颈总动脉和颈内动脉的病例。
一名64岁的女性患者患有EGPA,并出现霍纳综合征(Horner syndrome)。她正在接受EGPA的糖皮质激素治疗以及心房颤动的抗凝治疗。超声检查显示颈总动脉和颈内动脉内存在内膜瓣和双腔结构。患者继续接受药物治疗,未发生缺血性中风,发病6个月后的随访显示霍纳综合征有所改善。超声检查未发现复发或动脉瘤形成,但颈动脉夹层是否完全愈合尚未得到确认。
本案例提示EGPA可能与颈动脉夹层之间存在关联。在出现非典型或广泛性颈动脉夹层的情况下,应考虑是否存在内皮功能障碍等潜在疾病。临床医生应考虑EGPA等系统性血管炎的可能性。
一名64岁的女性患者因发现左眼视野异常而就诊。她有高血压、血脂异常、支气管哮喘、心房颤动、EGPA和胸主动脉夹层(TAD)以及白内障的病史。八年前,在调查多发性周围神经病变和中年发病的哮喘原因时,她发生了急性TAD并接受了紧急手术(主动脉移植)。随后被诊断为EGPA。她已经接受了14年的心房颤动抗凝治疗,并且也在接受EGPA的糖皮质激素治疗。眼科医生发现她的左眼视野异常,将其转诊至我们医院进行进一步检查。患者没有头痛、面部或颈部疼痛,也没有近期外伤史。体格检查显示她的左上眼睑轻度下垂(眼睑下垂),瞳孔缩小(瞳孔缩小,即霍纳综合征)。超声检查未发现复发或动脉瘤形成,但颈动脉夹层是否完全愈合尚未得到确认。
本文报告了一例罕见的自发性颈动脉夹层病例,该病例同时累及颈内动脉和颈总动脉,并伴有霍纳综合征。既往研究显示颈动脉夹层的发病率为每10万人2.6–3.0例[2]。颈动脉夹层通常起源于颈内动脉的远端部分(分叉处上方2–3厘米处)[2
一名64岁的女性患者因约三周前发现左眼视野异常而就诊。她有高血压、血脂异常、支气管哮喘、心房颤动、EGPA和胸主动脉夹层(TAD)以及白内障的病史。八年前,在调查多发性周围神经病变和中年发病的哮喘原因时,她发生了急性TAD并接受了紧急手术(主动脉移植)。随后被诊断为EGPA。她已经接受了14年的心房颤动抗凝治疗,并且也在接受EGPA的糖皮质激素治疗。眼科医生发现她的左眼视野异常,将其转诊至我们医院进行进一步检查。患者没有头痛、面部或颈部疼痛,也没有近期外伤史。体格检查显示她的左上眼睑轻度下垂(眼睑下垂),瞳孔缩小(即霍纳综合征)。超声检查未发现复发或动脉瘤形成,但颈动脉夹层是否完全愈合尚未得到确认。
我们的研究存在一些潜在的局限性。首先,由于病例仅涉及一名患者,因此无法确定因果关系。其次,缺乏长期随访数据。第三,患者的EGPA详细信息不详。第四,长期使用类固醇治疗可能会增加颈动脉夹层的风险。最后,不能完全排除EGPA与颈动脉夹层之间的偶然关联。
我们描述了一例极为罕见的病例,该病例中自发性颈动脉夹层同时累及颈总动脉和颈内动脉,并伴有EGPA。自发性颈动脉夹层不仅可能发生在典型的颈内动脉远端,也可能发生在颈总动脉。在这些情况下,应调查是否存在内皮功能障碍等潜在疾病,如EGPA。临床医生应在出现非典型或广泛性颈动脉夹层的情况下考虑EGPA等系统性血管炎的可能性。更大的登记分析或EGPA血管事件的系统评价有助于确定其发病率和机制。