
-
生物通官微
陪你抓住生命科技
跳动的脉搏
牙科种植体驱动器的吸入:一例罕见的气管内异物,通过单孔视频辅助胸腔镜支气管镜手术成功取出
《The Egyptian Journal of Bronchology》:Aspiration of a dental implant driver: a rare endobronchial foreign body successfully removed by uniportal VATS bronchotomy
【字体: 大 中 小 】 时间:2026年02月21日 来源:The Egyptian Journal of Bronchology 1.0
编辑推荐:
异物吸入成人和单孔胸腔镜手术成功案例,强调支气管镜失败时微创手术的优势。
成人发生异物吸入的情况较为罕见,且常常表现为模糊、具有误导性的症状,这些症状可能与感染、哮喘或恶性肿瘤相似。这种诊断上的挑战可能导致治疗延误。虽然大多数病例发生在儿童身上,但成人异物吸入通常与神经功能障碍、创伤或医源性事件(如医疗或牙科手术)有关。胸部影像学检查和详细的临床病史对于诊断至关重要。硬性支气管镜检查仍是取出的金标准方法,但当异物卡得非常牢固时,需要采取其他策略。
我们描述了一例40岁女性患者吸入牙科种植体驱动器的罕见病例,她表现为持续咳嗽和呼吸困难。放射学检查证实金属物体卡在右下叶支气管中。由于异物卡得过紧,尝试进行硬性支气管镜检查未成功,因此实施了单孔视频辅助胸腔镜手术(VATS)。术中支气管镜引导下进行了精确的支气管切开术,成功取出异物并完成了支气管的初次闭合。患者术后恢复顺利,第三天无并发症出院。
该病例强调了当支气管镜取出失败时,单孔VATS作为一种安全、微创的替代方法的重要性。这种方法提供了出色的视野,便于进行精确的支气管切开术,并减少了并发症。关于牙科种植体部件吸入支气管树并通过单孔VATS处理的报告极为罕见。我们的经验强调了在某些成人患者中考虑使用单孔VATS的重要性,从而扩展了处理复杂异物吸入的外科手段。
成人发生异物吸入的情况较为罕见,且常常表现为模糊、具有误导性的症状,这些症状可能与感染、哮喘或恶性肿瘤相似。这种诊断上的挑战可能导致治疗延误。虽然大多数病例发生在儿童身上,但成人异物吸入通常与神经功能障碍、创伤或医源性事件(如医疗或牙科手术)有关。胸部影像学检查和详细的临床病史对于诊断至关重要。硬性支气管镜检查仍是取出的金标准方法,但当异物卡得非常牢固时,需要采取其他策略。
我们描述了一例40岁女性患者吸入牙科种植体驱动器的罕见病例,她表现为持续咳嗽和呼吸困难。放射学检查证实金属物体卡在右下叶支气管中。由于异物卡得过紧,尝试进行硬性支气管镜检查未成功,因此实施了单孔视频辅助胸腔镜手术(VATS)。术中支气管镜引导下进行了精确的支气管切开术,成功取出异物并完成了支气管的初次闭合。患者术后恢复顺利,第三天无并发症出院。
该病例强调了当支气管镜取出失败时,单孔VATS作为一种安全、微创的替代方法的重要性。这种方法提供了出色的视野,便于进行精确的支气管切开术,并减少了并发症。关于牙科种植体部件吸入支气管树并通过单孔VATS处理的报告极为罕见。我们的经验强调了在某些成人患者中考虑使用单孔VATS的重要性,从而扩展了处理复杂异物吸入的外科手段。
成人发生异物吸入的情况较为罕见,且常常表现为模糊、具有误导性的症状,这些症状可能与感染、哮喘或恶性肿瘤相似。这种诊断上的挑战可能导致治疗延误。虽然大多数病例发生在儿童身上,但成人异物吸入通常与神经功能障碍、创伤或医源性事件(如医疗或牙科手术)有关。胸部影像学检查和详细的临床病史对于诊断至关重要。硬性支气管镜检查仍是取出的金标准方法,但当异物卡得非常牢固时,需要采取其他策略。
我们描述了一例40岁女性患者吸入牙科种植体驱动器的罕见病例,她表现为持续咳嗽和呼吸困难。放射学检查证实金属物体卡在右下叶支气管中。由于异物卡得过紧,尝试进行硬性支气管镜检查未成功,因此实施了单孔视频辅助胸腔镜手术(VATS)。术中支气管镜引导下进行了精确的支气管切开术,成功取出异物并完成了支气管的初次闭合。患者术后恢复顺利,第三天无并发症出院。
该病例强调了当支气管镜取出失败时,单孔VATS作为一种安全、微创的替代方法的重要性。这种方法提供了出色的视野,便于进行精确的支气管切开术,并减少了并发症。关于牙科种植体部件吸入支气管树并通过单孔VATS处理的报告极为罕见。我们的经验强调了在某些成人患者中考虑使用单孔VATS的重要性,从而扩展了处理复杂异物吸入的外科手段。
与儿童相比,成人发生异物吸入的情况较为罕见。当这种情况发生时,通常与某些易感因素有关,如神经功能障碍、颌面创伤或医疗或牙科手术中的医源性并发症[1, 2]。由于临床表现往往不具特异性——从慢性咳嗽和反复感染到原因不明的呼吸困难——诊断容易被延误或误认为是其他呼吸系统疾病[3]。影像学检查起着核心作用,但最终的治疗往往依赖于支气管镜检查。
硬性支气管镜检查是取出异物的金标准方法;然而,当物体卡在远端气道时,技术上可能无法取出。在这种情况下,需要外科干预[4, 56]。
特别是单孔VATS作为一种创新技术,结合了出色的视野和最小的手术创伤。尽管它广泛用于解剖切除和复杂的胸外科手术,但在处理卡住的气道异物方面的应用仍较少见。我们介绍了一例牙科种植体驱动器吸入右下叶支气管的独特病例,通过单孔VATS成功取出,该病例展示了其在某些成人患者中的微创应用价值。
一名40岁女性患者因持续刺激性咳嗽和 baru lahirnya dyspnea(呼吸困难)被收入医院。她否认有发热、咯血或体重下降的症状,既往病史无特殊异常。听诊时发现右下肺区的呼吸音明显减弱。实验室检查结果在正常范围内。
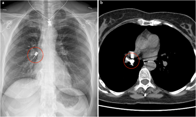
胸部X光片显示右下肺区有一个不透明的阴影(图1a),CT扫描进一步证实这是一个金属异物卡在右下叶支气管中(图1b),伴有轻微的远端肺不张。详细询问后,患者回忆起一周前在牙科手术过程中牙科种植体驱动器不慎掉入口中,当时认为已经被吞下,未进行任何医疗检查。
患者采取左侧卧位,在右侧第5肋间沿腋中线做一个3厘米的切口。进入胸膜腔后,轻轻向前牵拉肺组织以暴露后肺门。仔细分离亚肺门区,从近端到远端逐个分离右主支气管,直到完全看到下叶的基底段支气管。
为了准确定位异物,通过双腔气管导管插入一根细长的柔性支气管镜。通过支气管壁的透照术在术中确定了异物卡住的位置(图3和b)。在右下叶支气管水平处,进行了约1厘米的垂直支气管切开术(图4a)。然后使用手术钳取出了金属牙科种植体驱动器(图4b)(视频2)。
支气管切开术使用间断的不可吸收3-0 Prolene缝线闭合,以确保支气管壁的牢固吻合,减少术后漏气或通气压力下的早期裂开风险(图4c和d)。水密封测试确认没有漏气。在支气管镜引导下清除了阻塞远端的支气管分泌物。最后,通过单孔切口插入一根24F胸管,手术顺利完成。
患者在手术室中拔管后转至病房,状况稳定。虽然没有出现弥漫性气道炎症或活动性感染的迹象,但异物卡住部位有局部黏膜水肿,限制了支气管镜取出。由于支气管阻塞时间较长,给予预防性广谱抗生素。术后过程顺利,未出现短期并发症,包括长期漏气、气胸或手术部位感染。术后第三天拔除胸管,患者情况良好出院。
本案例强调了几个关键的临床要点。尽管成人异物吸入较为罕见,但在出现无法解释的呼吸系统症状且具有相关病史(尤其是医疗或牙科手术后)的患者中应怀疑此病。支气管镜检查仍是诊断和一线治疗的基石,大量临床研究证明了其在各种气道干预中的安全性和有效性[7, 8]。然而,内镜取出的成功很大程度上取决于异物的活动性和卡住程度,当物体牢固嵌入远端支气管时,硬性支气管镜检查可能失败。在这种情况下,单孔VATS是一种有效且微创的替代方法。这种方法提供了出色的视野,允许在直接控制下进行精确的支气管切开术,并能在最小化并发症的同时安全取出异物。关于金属牙科器械吸入支气管树并通过单孔VATS处理的报告极为罕见,本案例进一步证明了在某些成人患者中,当内镜治疗失败时,单孔VATS是一种安全高效的选择。