十年随访研究:胶原酶注射与开放手术在杜普伊特伦病治疗中的对比
Camillo Fulchignoni,
Silvia Pietramala,
Marco Barbaliscia,
Marco Passiatore,
Ludovico Caruso,
Adriano Cannella,
Gianfranco Merendi,
Lorenzo Rocchi,
Giuseppe Taccardo,
Rocco de Vitis
《Surgeries》:Ten-Year Follow-Up: Collagenase Injection Versus Open Surgery for Dupuytren’s Disease
Camillo Fulchignoni,
Silvia Pietramala,
Marco Barbaliscia,
Marco Passiatore,
Ludovico Caruso,
Adriano Cannella,
Gianfranco Merendi,
Lorenzo Rocchi,
Giuseppe Taccardo and
Rocco de Vitis
【字体:
大
中
小
】
时间:2026年03月06日
来源:Surgeries 1.1
编辑推荐:
机器人辅助纵隔镜胸腺切除术术中意外开孔对侧胸膜缺损采用胶原蛋白垫闭合技术,成功避免二氧化碳张力性气胸及术后持续漏气,术后1天拔除引流管并出院,6个月随访无复发。
摘要
背景/目标:机器人辅助胸腺切除术已成为治疗胸腺瘤的首选方法。尽管机器人手术能够实现精确的解剖,但在切除胸腺时可能会意外打开对侧胸膜,导致二氧化碳(CO?)通过缺损处泄漏到对侧胸膜中,从而引发张力性气胸,或者导致严重的术后漏气以及引流管拔除延迟。为防止这种潜在并发症,需要封闭胸膜缺损。使用缝线或夹子进行这种操作可能具有挑战性,尤其是在机器人手术过程中,因为胸膜是一种薄组织。
方法:我们报告了使用胶原蛋白垫封闭胸膜缺损的初步经验;将垫子放置在缺损处后,用干燥的海绵轻轻均匀地施加压力2分钟,以密封组织表面。垫子封闭了缺损,并形成了一个屏障,阻止了二氧化碳泄漏到对侧胸膜中。
结果:该程序已成功应用于三名连续患者,用于修复在RATS胸腺切除术(Robotic-Assisted Thymectomy)治疗B1胸腺瘤(2例)和B2胸腺瘤(1例)过程中出现的对侧胸膜缺损。术中和术后均未出现并发症,六个月随访未发现复发。
结论:使用胶原蛋白垫封闭胸膜缺损是一种提高机器人辅助胸腺切除术安全性的有效方法。
1. 引言
手术是治疗恶性及良性胸腺疾病的首选方法,而微创手术(MIS)是首选方式[1,2,3]。在切除胸腺时意外打开对侧胸膜可能导致潜在的危及生命的并发症,如二氧化碳张力性气胸,这需要立即进行胸腔引流。
本文介绍了一种新技术,即使用胶原蛋白垫(Hemopatch?,Baxter Healthcare SA Zurich,瑞士)来封闭RATS胸腺切除术中出现的胸膜缺损,目的是防止可能导致手术期间通气受阻的严重对侧单纯性气胸,并减少术后通过缺损的漏气。
2. 材料与方法
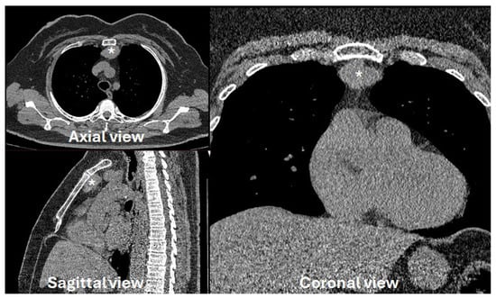
该程序应用于三名连续患者,用于修复在RATS胸腺切除术治疗胸腺瘤过程中出现的对侧胸膜缺损。这三例胸膜缺损封闭病例发生在我们RATS胸腺切除术经验的早期阶段,目前我们已经完成了60例手术。所有病例中,肿瘤都是在评估持续性咳嗽时发现的。患者没有神经肌肉症状,血液检查也未显示重症肌无力的自身抗体。在氟脱氧葡萄糖-正电子发射断层扫描(PET/CT)中,肿瘤的平均大小为35 ± 5毫米,平均标准化摄取值(SUV)为2.7 ± 0.5,位于左侧(
图1)。未对病变进行细针活检。经过多学科讨论,建议采用左侧入路的RATS根治性胸腺切除术。
图1. 多平面CT扫描显示,一名49岁非重症肌无力女性患者的左侧胸腺瘤(*)大小为35毫米。
作者已获得所有患者的书面授权,以发布本研究中的信息。出于隐私原因,临床数据仅应请求提供。
2.1. 手术技术
所有手术均在全身麻醉和单肺通气下,使用da Vinci Xi机器人系统进行。患者以30°角度摆放,左臂与床平行,右臂沿身体方向放置以暴露腋窝区域。采用标准的三孔入路,三个套管针分别放置在第三和第五肋间隙以及中腋线和中锁骨线之间。使用了三个机械臂:左臂手(Arm 1)配备有带孔的双极钳,右臂手(Arm 3)配备有Maryland双极钳,Arm 2则用于摄像。整个手术过程中未使用助手协助,二氧化碳以8毫米汞柱的压力和20毫升/分钟的流量持续注入。
切除从心包膈脂肪组织开始,然后沿膈神经前缘向上进行。将胸腺的左下角从心包中分离出来,接着将胸腺从胸骨后区域分离,直至找到右下角和对侧纵隔胸膜。使用Maryland钳进行解剖,在此过程中对侧胸膜被打开(
图2A)。
图2. 术中视图显示,通过应用Hemopatch?(
B)成功封闭了胸膜缺损(
A)。
将胸腺的下部向上抬起,找到左无名静脉,沿其边缘继续解剖至颈部;然后定位并分离上角与甲状腺的下部。在解剖过程中,识别并切除了胸腺静脉。完全切除上极后,将标本完全取出并向后牵拉,完成胸腺瘤和纵隔脂肪组织的整块切除。手术中发现上纵隔胸膜有一个直径在4到6毫米之间的缺损。这一缺损未引起任何不良生理变化,SpO?、ETCO?和气道压力均保持稳定。发现缺损后,减少了二氧化碳的注入量。
通过应用Hemopatch?封闭了胸膜缺损(
图2B,
视频S1);其中一个病例选择的垫子尺寸为45 × 90毫米,另外两个病例为45 × 45毫米。所有情况下,垫子与缺损边缘的重叠距离至少为1厘米。然后恢复二氧化碳的注入。取出Arm 1,用钳子将垫子卷起并通过套管针送入胸腔,将其放置在缺损处,并用海绵轻轻按压2分钟以促进粘连。封闭缺损后,恢复二氧化碳的注入量以验证密封的完整性,确保没有发生临床相关的气胸。随后将标本放入Endobag中,并通过摄像套管取出,如有需要可扩大套管孔。在前纵隔放置一根28号引流管,充气肺部,关闭其他伤口。患者拔管后转入病房。
2.2. 注意事项和陷阱
为了成功封闭缺损,保持手术野干燥至关重要;过多的液体可能会影响垫子的粘合性能。正确的方向同样重要:活性面必须直接接触胸膜,蓝色虚线面朝上。为确保牢固的密封和有效的止血效果,应用干燥的海绵轻轻均匀地施加压力2分钟。主要陷阱是覆盖不足;垫子必须与缺损边缘重叠1-2厘米,因此选择合适的尺寸非常重要。如果手术野过于湿润、方向错误或重叠不足,无法承受二氧化碳的压力,可能会导致二氧化碳泄漏到对侧胸膜中。
3. 结果
手术耗时137 ± 2.5分钟。术中和术后均未出现并发症(
表1)。所有患者的胸腔引流管均在术后第一天取出,患者于术后第二天出院。组织学诊断为B1胸腺瘤2例,B2胸腺瘤1例:其中2例为Masaoka I期,1例为Masaoka II期。六个月随访未发现复发。
表1. 研究人群特征。
4. 讨论
胸腺切除术是适合手术的早期胸腺肿瘤的主要治疗方法。切除范围仍有争议,取决于是否存在伴有或不伴有重症肌无力的胸腺瘤。通常,对于非重症肌无力患者,建议切除胸腺及周围纵隔和颈部的脂肪组织;而对于重症肌无力患者,则建议通过打开两侧胸膜腔进行广泛的双侧胸腺切除[4,5]。多项研究和荟萃分析[1,2,3]表明,与传统的开放手术相比,视频辅助胸腔镜手术(VATS)和/或RATS胸腺切除术并发症更少,住院时间更短,患者接受度更高。未来,由于RATS胸腺切除术具有高分辨率3D视野、减少手部颤抖以及手术器械360度旋转等优点,预计将成为标准的胸腺切除方法。
尽管RATS手术能够实现精确的解剖,但在从胸骨后区域切除胸腺时仍可能意外打开对侧胸膜,正如我们的病例所示。虽然修复小尺寸的缺损可能没有必要,但我们仍选择封闭这些缺损,以防止二氧化碳通过缺损泄漏到对侧胸膜中,导致右侧气胸。
同样,一些作者[6,7,8,9]报告了在腹腔镜手术中由于先天性膈肌缺损或意外膈肌损伤导致的二氧化碳张力性气胸,需要立即插入胸腔引流管来处理急性呼吸衰竭。
此外,RATS胸腺切除术后约有1-3%的患者会出现气胸或张力性气胸,这是已知的术后并发症[10]。Abd-Elsayed等人报告了一例在胸腺切除术后插入右侧锁骨下导管后发生双侧气胸的罕见病例,这可能是由于两侧胸膜腔之间的意外相通所致[11]。
虽然我们标准的胸膜修复方法使用缝线或夹子,但由于胸膜组织的脆弱性,在RATS手术中这些技术可能技术难度较大。因此,我们选择了使用Hemopatch?。它通常用于控制多种胸腔手术中的出血和漏气[9],但在本研究之前,尚未有作者将其用于此目的。Hemopatch?由牛源胶原蛋白制成;活性面(白色)涂有一层反应性戊二糖醇聚乙二醇醚四琥珀酰亚胺(NHS-PEG),非活性面标有蓝色方块。为了手术成功,活性面直接接触胸膜,蓝色虚线面朝上。然后使用干燥的海绵轻轻均匀地施加压力2分钟,以密封组织表面。这样,垫子形成了一个屏障,阻止二氧化碳泄漏到对侧胸膜,并在需要时提供止血效果。垫子与胸膜缺损的重叠距离应为1-2厘米;因此,选择合适的尺寸非常重要。此外,还需清洁和干燥套管针,以便于垫子的应用并防止其损坏。
我们初步经验的局限性包括患者数量较少(由于胸膜意外打开的情况较少)、垫子的成本较高(根据尺寸不同,价格在140至240欧元之间),以及放置垫子所需的时间较长。这种技术可能仅适用于部分患者,以克服成本限制。
5. 结论
我们的初步经验表明,当外科医生认为有必要封闭时,胶原蛋白垫是修复RATS胸腺切除术中偶然出现的胸膜缺损的可行且安全的选择。未来需要更大规模的研究来确定其相对于其他管理策略的比较优势和成本效益比。
生物通微信公众号
生物通新浪微博
今日动态 |
人才市场 |
新技术专栏 |
中国科学人 |
云展台 |
BioHot |
云讲堂直播 |
会展中心 |
特价专栏 |
技术快讯 |
免费试用
版权所有 生物通
Copyright© eBiotrade.com, All Rights Reserved
联系信箱:
粤ICP备09063491号