多模态诊断与血管内大口径抽吸术在血栓移行过程中的应用
Katja Lovokovi?,
Dra?en Mlinarevi?,
Vjekoslav Kopa?in,
Mateo Grigi?,
Jerko Aramba?i?,
Iva Juri?,
以及
Tajana Turk
《Diagnostics》:Multimodality Diagnostics and Endovascular Large-Bore Aspiration Thrombectomy of the Clot-in-Transit
Katja Lovokovi?,
Dra?en Mlinarevi?,
Vjekoslav Kopa?in,
Mateo Grigi?,
Jerko Aramba?i?,
Iva Juri? and
Tajana Turk
【字体:
大
中
小
】
时间:2026年03月20日
来源:Diagnostics 3.3
编辑推荐:
栓子迁移症(CIT)患者术后急性呼吸困难合并肺栓塞,经超声心动图确诊右心房游离血栓,因溶栓禁忌行机械血栓切除术成功,提示CIT需紧急超声诊断及介入治疗。
摘要
移动性血栓(Clot-in-transit, CIT)是指在右心腔内自由漂浮的血栓,随时可能进入肺循环。可能的治疗方法包括抗凝治疗、全身性溶栓治疗、外科取栓术以及基于血管内导管的疗法。目前最佳治疗方案尚未确定,主要依赖于临床判断和多学科团队的讨论。我们报告了一例70岁女性的病例,她在近期腹部手术后出现呼吸急促,被诊断为双侧大面积肺栓塞(Pulmonary Embolism, PE),并伴有移动性血栓。即时超声检查发现右心房内有一个较大的活动性血栓,同时伴有严重的右心室功能障碍。由于患者存在血流动力学不稳定且不适合进行全身性溶栓治疗,因此选择了机械取栓术。通过机械取栓术从右心和肺动脉中吸出了大量血栓,从而稳定了患者的血流动力学状态,并恢复了右心室功能。患者在整个住院期间病情稳定,出院后接受口服抗凝治疗,随访时完全康复。该病例强调了几个关键点:首先,移动性血栓是一种罕见情况,但在大面积肺栓塞和休克患者中应予以考虑;其次,即时超声检查(Point-of-Care Ultrasound, POCUS)对于诊断移动性血栓至关重要;最后,对于不适合全身性溶栓治疗且血流动力学不稳定的高风险肺栓塞患者,机械取栓术是一种有价值的治疗选择。需要进一步的研究来制定针对移动性血栓患者的最佳管理指南。
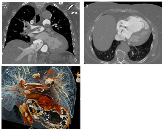
图1. 计算机断层肺血管造影(Computed Tomography Pulmonary Angiography, CTPA)显示左右肺动脉、叶间动脉以及大部分段支存在造影剂填充缺损(用星号*标注),这与大面积肺栓塞(
A)一致;同时右心房内也发现一个蛇形填充缺损(
B),符合移动性血栓(CIT)的特征。体积重建图像(
C)显示主肺动脉和右心室内有蛇形血栓。移动性血栓通常起源于深部盆腔静脉,可随时进入肺循环,属于医疗紧急情况[
1]。因此,早期诊断至关重要,尤其是在血流动力学不稳定的患者中。该患者为70岁女性,有近期腹部手术史,表现为急性呼吸困难和阻塞性休克,血压为59/29毫米汞柱,脉搏90次/分钟,氧饱和度(SpO
2)为98%,右心扩大,提示右心负荷过重。
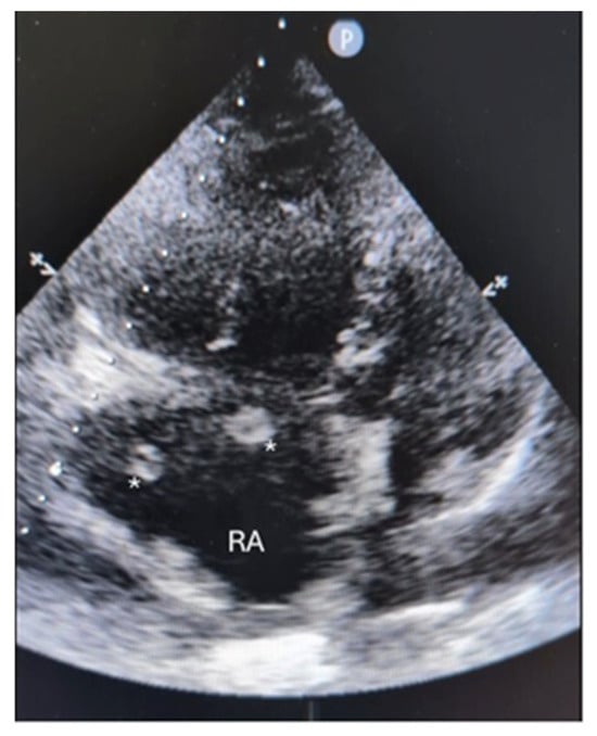
图2. 即时超声检查(POCUS)显示右心房(RA)内有一个较大的蛇形血栓(用星号*标注),该血栓通过三尖瓣脱垂进入右心室,符合移动性血栓的特征。POCUS还显示右心室功能障碍,TAPSE值为8毫米,下腔静脉扩张,支持阻塞性休克的诊断。尽管CTPA仍是诊断肺栓塞的标准化影像学方法,但在心动过速和呼吸困难的患者中,由于运动伪影的影响,CTPA可能无法检测到心内血栓,尤其是在未使用心电图同步触发进行扫描的情况下,CTPA对移动性血栓的阳性预测值约为57%[
2]。因此,POCUS越来越多地用于诊断移动性血栓,并识别与急性肺栓塞相关的病理变化,如右心负荷过重[
3]。在急性肺栓塞患者中,POCUS的检出率为4%[
4]。对于需要紧急治疗的病例,POCUS对于及时临床决策至关重要,因为这些病例可能无法通过标准影像学方法检测到[
5。
图3. (
A)导管血管造影显示右肺动脉分支存在造影剂填充缺损(用星号*标注)。根据2019年的指南[
6),对于处于阻塞性休克状态的患者,推荐使用全身性溶栓治疗。然而,在高风险肺栓塞患者中,尤其是术后患者,全身性溶栓的禁忌症较为常见。尽管这些指南未针对伴有移动性血栓的高风险肺栓塞患者提供具体治疗建议,但最新研究表明,与单纯抗凝治疗相比,全身性溶栓或基于导管的治疗(包括机械取栓术)可显著降低不良临床结局的发生率[
7]。鉴于该患者近期接受过腹部手术且血流动力学不稳定,全身性溶栓被列为禁忌。经过多学科团队讨论后,决定采用机械取栓术来处理移动性血栓和肺栓塞,这种方法可以在不增加出血风险的情况下快速减轻右心室负荷[
8]。在局部麻醉和超声引导下,首先穿刺左侧股总静脉,然后通过导丝插入一根24号导管鞘(Intri 24,Inari,Irvine,CA,USA)。随后将一根大口径抽吸导管(FlowTriever 24,Inari,Irvine,CA,USA)沿硬导丝(Amplatz Super Stiff,Boston Scientific,Marlborough,MA,USA)送入右心房,使用专用注射器进行一次抽吸,但未能完全清除血栓。同一导管随后被送入右肺动脉,共进行了六次抽吸,清除了大部分右肺血栓(
B)。后续控制性血管造影显示右肺动脉分支的造影剂填充情况改善,仅残留少量血栓(
C)。在左肺动脉插管过程中,患者因导管操作引发了室性心动过速。随着患者生命体征的改善(血压110/60毫米汞柱,脉搏75次/分钟,氧饱和度99%),进一步进行溶栓操作变得不再必要。穿刺部位通过止血海绵和手动压迫封闭。复查超声显示右心房和右心室尺寸正常,右心室收缩功能完全恢复(TAPSE 22毫米),右心房和肺动脉内未见血栓。患者在整个住院期间血流动力学稳定,无需进一步干预。
生物通微信公众号
生物通新浪微博
今日动态 |
人才市场 |
新技术专栏 |
中国科学人 |
云展台 |
BioHot |
云讲堂直播 |
会展中心 |
特价专栏 |
技术快讯 |
免费试用
版权所有 生物通
Copyright© eBiotrade.com, All Rights Reserved
联系信箱:
粤ICP备09063491号