
-
生物通官微
陪你抓住生命科技
跳动的脉搏
免疫组化(IHC)取得好结果的关键四步
【字体: 大 中 小 】 时间:2026年03月12日 来源:基因有限公司
编辑推荐:
IHC 是一项具有挑战性的应用技术,应用过程中常出现各种问题。在此,本文将讨论我们所认为的成功实验的关键步骤,并提供关于试剂以及实验过程的建议。
免疫组织化学法(Immunohistochemistry, IHC):是一种使用抗体检测和分析蛋白质表达,同时保持天然组织的组成、细胞特征和结构的技术。IHC 常用于确认肿瘤或其他组织癌变的形态特征。

请注意:以上步骤是石蜡包埋样品的制备流程。
IHC 是一项具有挑战性的应用技术,应用过程中常出现各种问题。在此,本文将讨论我们所认为的成功实验的关键步骤,并提供关于试剂以及实验过程的建议。旨在通过提供建议来帮助您改进IHC 检测,减少您的实验优化过程,快速达到预期结果。
1、抗原修复 --解开“封印”的钥匙
石蜡包埋样品,因为固定时形成的化学交联可通过阻止抗体与抗原接触来防止抗体结合;因此,需通过称为抗原修复(也称为抗原暴露或抗原表位修复)的过程来解交联。抗原修复可通过热诱导的方法(heat–induced epitope retrieval, HIER)或者通过酶解法实现。
在抗体验证过程中,Cell Signaling Technology(CST)为每个一抗确定了最佳流程,并将此信息纳入产品数据表。SignalStain® Citrate Unmasking Solution (10X) #14746 和 SignalStain® EDTA Unmasking Solution (10X) #14747 是 CST 针对抗原修复提供的两种选择。
01 抗原修复缓冲液选择
适用于HIER 的缓冲液有多种。而CST 常推荐的两种缓冲液是:pH6, 10mM 柠檬酸盐缓冲液和pH 8, 1mM EDTA 缓冲液。缓冲液是否适用于您的实验取决于您所使用的一抗。请查阅产品说明书中所推荐的用于特异性抗体的修复缓冲液。一般而言,EDTA 缓冲液适用于多数磷酸化酪氨酸特异性抗体,而柠檬酸盐缓冲液适用于其他多数抗体。
如下图所示,适当的修复缓冲液对最终染色质量具有显著影响。

使用CST推荐的修复缓冲液可改善最终染色结果。
在利用柠檬酸盐缓冲液(左)或者EDTA缓冲液(右)对抗原进行修复后,利用Phospho–HER3/ErbB3 (Tyr1289) (D1B5) Rabbit mAb #2842 对石蜡包埋人类肺部肿瘤进行IHC分析。如图所示,利用EDTA缓冲液进行抗原修复可使细胞膜染色度增强的同时可加强信号。请查阅产品说明书中与抗体适配的修复缓冲液。
02 煮沸装置
载玻片在所推荐的缓冲液中加热煮沸一段时间后,才可引起抗原修复。我们建议使用微波炉或高压锅加热煮沸以达到最佳抗原修复效果。
2、一抗使用和抗体稀释 --特异性的灵魂
01 一抗选择至关重要
一抗在检测中至关重要,对数据质量存在直接影响。要选择经多重严格验证过的IHC抗体。来自 CST 的所有 IHC 验证抗体不仅已确认在组织中具有强信号,而且经过严格的验证程序来确认信号的特异性。在 CST 专门从事 IHC 的科学家们检测了大量的抗体,并只推荐了最适合该应用的抗体。
另外,需要留意抗体可检测的样本类型,通常IHC-P 是指石蜡组织切片的免疫组化,IHC-F 指的是冰冻组织切片的免疫组化。
02 一抗稀释液
抗体稀释剂可显著影响信号强度。在IHC–P中,SignalStain®Antibody Diluent #8112 在用作推荐抗体的稀释剂时可提供更好的染色。
也有多种抗体稀释液可供选择,在CST,我们利用 SignalStain®抗体稀释液、TBST/5% NGS(含5%山羊血清的 TBST)或者 PBST/5% NGS(含5%山羊血清的 PBST)来稀释一抗。因为合适的稀释剂具有抗体特异性,因此,查阅产品说明书中针对使用的抗体所推荐的稀释剂。在进行 IHC–F过程中,一抗应在封闭缓冲液(TBS/0.3% Triton™ X–100/5% NGS)中稀释。

为获得最佳实验结果,如产品说明书所述,始终使用推荐的一抗稀释液。
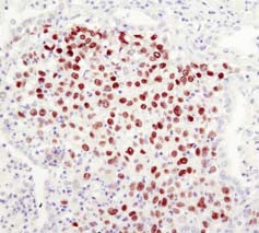
使用SignalStain®抗体稀释液(左)或TBST/5%NGS(右)作为抗体稀释液,利用Phospho–Akt (Ser473) (D9E) XP® Rabbit mAb #4060 或Phospho–EGF Receptor (Tyr1173) (53A5) Rabbit mAb #4407对石蜡包埋人类乳腺肿瘤(上图)和HCC827异种移植物(下图)进行IHC分析。如图所示,与 #4060 在TBST/5% NGS中稀释后所得信号强度相比,经SignalStain® 抗体稀释液稀释所得信号强度更强。相比之下,#4407在TBST/5%NGS中稀释后的效果更好。请查阅产品说明书中针对所选特异性抗体的推荐稀释液。
3、检测系统 --信号放大的引擎
传统的 IHC 检测方法利用了亲和素和生物素间的天然亲和性。这种亲和素–生物素–复合物 (ABC) 系统需要进行两步法检测:包括结合生物素化二抗后暴露于亲和素–HRP 复合物,然后进行显色反应。基于生物素的系统容易导致背景染色,特别是含有大量内源性生物素的肝脏、肾脏等组织。
因此,我们建议使用基于聚合物的检测系统,如SignalStain® Boost IHC 检测试剂。该基于聚合物的检测系统不含生物素,而包含了直接偶联于聚合物主链上的酶和二抗。SignalStain® Boost IHC 检测试剂具有高敏感性并消除因内源性生物素所致的假阳性染色,其检测过程省去一个步骤为检测过程节省了时间,并且其与所有基于过氧化物酶的底物相容。


左:基于生物素的检测; 右:基于聚合物的检测
相对于基于生物素的检测而言,基于聚合物的检测的敏感性更高。
利用Sox2 (D6D9) XP® Rabbit mAb #3579 对石蜡包埋的人类肺部肿瘤进行IHC分析,采用基于生物素的检测(左)或基于聚合物的检测(SignalStain® Boost IHC Detection Reagent #8114;(右)。如图所示,基于聚合物的检测敏感度更高,染色强度更好。
SignalStain® Boost IHC Detection Reagent (HRP, Mouse) #8125 和 SignalStain® Boost IHC Detection reagent (HRP, Rabbit) #8114可分别在 IHC 检测中用于检测小鼠或兔一抗。
4、色原显色 --结果的“定格”
二氨基联苯胺 (DAB) 底物是基于过氧化物酶检测系统中最常用的色原之一。DAB 与HRP 反应以在抗体结合处形成棕色沉淀物。
并非所有 DAB 底物均可达到同等的效果。在实验中建议始终使用高质量的DAB 底物。在CST公司,IHC 小组的CST科学家内部鉴定IHC抗体所使用的都是SignalStain® DAB 底物试剂盒#8059。
SignalStain® DAB 底物试剂盒敏感性高,且与一抗的作用效果最佳。

并非所有 DAB 底物均可达到同等的效果。利用 Phospho-Stat3 (Tyr705) (D3A7) XP® Rabbit mAb #9145 对石蜡包埋的人乳腺癌进行的 IHC 分析。使用SignalStain® DAB Substrate Kit #8059(左图)或另一家公司提供的 DAB(右图)进行显色法检测。SignalStain® DAB Substrate Kit 产生的信号比另一家公司提供的 DAB 更强。
配套试剂的重要性
使用与一抗匹配的优化试剂和操作流程能够大大改善您的实验结果。
抗体只是实验成功的因素之一。选择帮助抗体展现最好表现的配套产品同样重要。CST 提供的配套产品与CST科学家用于验证IHC一抗的试剂相同。为与CST的一抗和实验步骤配套使用,这些产品已经过全面优化,所以您完全可以相信您的结果。
部分IHC配套试剂/试剂盒

除了单染,我们还为您提供免疫组化双染和多重荧光免疫组化(mIHC)解决方案!
基因有限公司作为CST在中国区的长期合作伙伴,将持续为您提供优质的产品、专业的技术支持与完善的售后服务。如需了解更多产品详情,请扫码添加下方技术人员微信!

您在IHC实验中遇到过哪些问题?欢迎在评论区留言交流!